The Best Deal on Invisalign® in Nazareth, PA 

– Only $89/Paycheck or $3,279 All-Inclusive!

Achieve a Perfect Smile with Affordable, Clear Aligners at Gum Dental

Get Invisalign® For Just $89*

Only $89/Paycheck or $3,279 All-Inclusive!

offer ends April 30, 2026*

Transform Your Smile with Invisalign®

Virtually Invisible:

Clear aligners blend seamlessly with your teeth, so no one will notice you’re wearing them.

Comfortable & Removable:

No wires or brackets—just smooth aligners that you can remove for eating, brushing, and flossing.

At Gum Dental in Nazareth, PA, we make achieving your dream smile affordable and stress-free. With our all-inclusive Invisalign® package for just $89 per paycheck or $3,279, you can enjoy the benefits of straighter teeth without breaking the bank. Whether you’re looking to correct crowded teeth, close gaps, or improve bite alignment, Invisalign® offers a comfortable and virtually invisible solution to fit your lifestyle.

Custom Fit: 

Each aligner is tailored to your teeth, gradually shifting them into place for a perfect smile.

Fast Results:

Many patients achieve their desired results in as little as 6–12 months.

What Does All-Inclusive Mean?

When choosing Invisalign®, it's important to know exactly what's included in your treatment plan. Many providers advertise low prices but add extra fees for essential services, leaving you with unexpected costs.


At Gum Dental in Nazareth, PA, we offer a truly all-inclusive Invisalign® package for just $3,279 or $89 per paycheck, with no hidden fees.

01 Initial Consultation:

Meet with our team to discuss your goals and determine if Invisalign® is right for you.

02 X-rays & Photos:

Complete imaging to plan your treatment and track progress.

03 All Visits:

Every appointment throughout your treatment is covered.

04 Scanning/Impressions:

Advanced digital scans or impressions for precise aligner fitting.

05 Complete Invisalign® Treatment:

From your first aligner to your last, everything is included.

06 Necessary Corrections:

Any adjustments needed to perfect your smile are included.

07 Free Set of Retainers:

Any adjustments needed to perfect your smile are included.

08 Transparent Pricing:

No surprises, no hidden fees—just clear, upfront pricing and exceptional care!

Don’t miss this limited-time offeron All-Inclusive Invisalign®

All-Inclusive Invisalign®

$89/paycheck 

or $3,279

Most offices charge $5,500-$7,500!

Offer Ends:

days
hours
minutes
seconds
00
00
00
00
days
hours
minutes
seconds
  • *This option includes the $600 Invisalign New Patient Coupon.
  • Available to new patients only
  • Good for two weeks from your Invisalign consult. 
  • Cannot be combined with any other discount or coupon.
  • $89 down. No credit check required.

or

Why Choose Gum Dental?

At Gum Dental in Nazareth, PA, we combine cutting-edge technology with personalized care to give you the best Invisalign® experience. Our team is dedicated to helping you achieve your dream smile while ensuring the process is as affordable, comfortable, and stress-free as possible. With decades of experience and a commitment to patient satisfaction, you can trust us to deliver results you’ll love.

Dr. Gum is a patient favorite Dentistry Practitioner

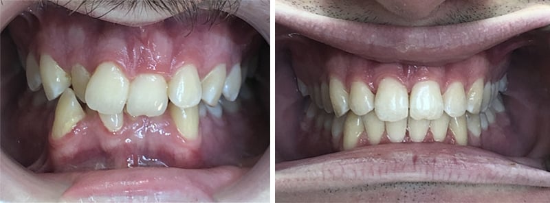
Invisalign® Before and After Photos

Meet Dr. Julie Gum

Dr. Julie Gum is a highly skilled and compassionate dentist dedicated to helping patients achieve healthy, beautiful smiles. As a native of the Lehigh Valley and a graduate of the University of Pittsburgh School of Dental Medicine, Dr. Gum brings years of expertise and advanced training in Invisalign®, cosmetic dentistry, and dental implants.


Known for her personalized approach, Dr. Gum focuses on creating customized treatment plans to meet each patient’s unique needs while ensuring a comfortable and stress-free experience. She is an active member of several professional organizations, including the American Dental Association and the American Academy of Cosmetic Dentistry.


Whether you're looking to enhance your smile or improve your oral health, Dr. Gum is committed to delivering exceptional results you can feel confident about.


Don’t miss out on this limited-time offer get Invisalign® for only $89/paycheck or $3,279 all-inclusive!*

Start your smile transformation today.

or

"Dr. Gum and her staff are absolutely terrific! Everyone is friendly, courteous, professional and extremely knowledgeable. The care they provide is very personal for each patient, they truly care about how your feeling, and always take the time to answer any questions you may have. Scheduling an appointment is not difficult, they will work with your schedule and get you in to be seen by Dr. Gum asap. My husband and I are both patients of Dr. Gum and we would never want to go to anyone else. We truly trust Dr. Gum and her staff and always look forward to seeing them.”

“Dr. Gum is the consummate professional- knowledgeable, efficient, empathetic, and caring. She employs the latest technology and uses it most effectively. I highly recommend her; she is an excellent dentist!”

“Dr Gum is fantastic and the staff is truly wonderful … everyone is pleasant and certainly very good at what they do."


Patient Reviews

Contact Us

150 South Green Street Nazareth,

PA 18064

Accessibility: If you are vision-impaired or have another impairment covered by the Americans with Disabilities Act or a similar law and wish to discuss potential accommodations related to using this website, please contact our Accessibility Manager at 610-746-0488. Thank you.